自費補綴セラミック治療
セラミック治療とは
見た目も自然で、耐久性や機能性にも優れている セラミック(陶材)を使用した白いかぶせ物や詰め物です。 見た目を気にされる方だけでなく、長期的に歯のトラブルリスクを 下げたい方にもおすすめの治療法です。 永く安定して使用していただける治療であるため、 当院では3年間の保証期間を設けております。
セラミック治療の特徴
01 天然の歯により近い見た目
歯の色だけでなく、透明感や艶など質感の再現性も非常に高く、人工物感のない自然な見た目のかぶせ物です。
02 耐久性に優れている
汚れが付きにくい素材であるため、着色汚れの心配がありません。 また、セラミックは経年劣化による変色も起こらないため、
入れたときのきれいな状態を永く維持していただけます。
03 虫歯になりにくい
自費診療では、型取りの段階から製作、セメントの材料に至るまで、保険診療と比較し、より精度の高い治療を行います。 そのため、適合性が非常に高く、かぶせ物の淵の隙間から二次的な虫歯になってしまうリスクを減らすことができます。 また素材として表面に汚れ(プラーク)が付きにくいことも虫歯や歯周病予防に繋がります。
04 アレルギーの方も安心
セラミックには金属が含まれていないため、金属アレルギー症状が出る心配がありません。 また、金属イオンによって歯ぐきのキワが黒く変色することも防げます。
※丈夫な素材ではありますが、瞬間的に強い力がかかった場合、稀に割れてしまうことがあります。 歯ぎしり・食いしばりがあり、割れるリスクが高い方にはマウスピースを装着して歯への負担を軽減することが必要です。
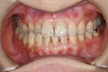
症例①セラミッククラウン
術前
術後
| 主訴 | かぶせた歯の色が気になる |
|---|---|
| 治療方法 | かぶせ物を外して、歯の土台の形をととのえて型取りをします そして新しいかぶせ物を入れます |
| 使用素材 | セラミック |
| リスク副作用 | 硬いものを噛むとセラミックが割れる可能性がある |
| 金額(税込) | 1本 99,000円~165,000円 |
| 患者の年齢・性別 | 40代女性 |
| 治療期間 | 約1ヶ月 |
術前
術後
| 主訴 | 結婚式までに歯の色をきれいにしたい |
|---|---|
| 治療方法 | かぶせ物を外して、歯の土台の形を整えて、かぶせ物の型取りをします そして新しいかぶせ物を入れます |
| 使用素材 | セラミック |
| リスク副作用 | 硬いものを噛むとセラミックが割れる可能性がある |
| 金額(税込) | 1本 99,000円~165,000円 |
| 患者の年齢・性別 | 20代女性 |
| 治療期間 | 約1ヶ月 |
症例②セラミックブリッジ
術前
術後
| 主訴 | 前歯をぶつけて歯が折れた |
|---|---|
| 治療方法 | となりの歯を削ってかぶせ物を入れます |
| 使用素材 | セラミック |
| リスク副作用 | 硬いものをかむとセラミッが割れたり、とれたりする可能性がある 隣の歯を削らないといけない |
| 金額(税込) | 1本 99,000円~165,000円 |
| 患者の年齢・性別 | 30代女性 |
| 治療期間 | 約4ヶ月 |
料金表
自費治療ラミネートベニア治療

歯の表面をうすく削り、セラミックなどで作られた貝殻状の薄片を、つけ爪のように貼りつける治療です。 歯を白くしたり、歯のすきまを埋める効果があり、歯の形を改善することができます。 クラウン(歯のかぶせもの)に比べると、このような利点があります。 ① 自分の歯を削る量が少なくてすむ ② 治療期間・回数が少ない ③ 安心できる治療費 【費用】 ラミネートベニア 165,000円(税込)
| ラミネートベニア治療の長所 | ラミネートベニア治療の短所 | ||
|---|---|---|---|
| ラミネートベニア治療の長所 |
|
ラミネートベニア治療の短所 |
|
ラミネートベニア治療とは
見た目の審美性を高めるための治療法です。 一般的には、口を開けて笑った時に目立ちやすい前歯に使います。歯の表面を少しだけ削り、歯と同じ色の薄いセラミックを貼り付ける治療法です。
ラミネートべニア治療の特徴
01 審美性が回復される
歯の変色、歯と歯の隙間、捻転している歯、表面に凹凸がある歯、形が悪い歯など、様々な症例に適用できます。セラミックを使用するため、天然歯に近い白さを透明感を再現できます。また着色や経年劣化による変色も起こらないため、美しい歯を永く維持できます。
02 歯を削る量が少ない
健康な歯を大きく削る必要がないため、歯の神経にも影響がない治療法です。
03 治療期間が短期間で完了する
セラミックの詰め物、かぶせ物より短期間で完了します。すぐにでも歯の見た目を変えたい、通院の負担を減らしたい方にはラミネートベニアが適しています。
※大きな虫歯がある場合は適用できないことがあります。
※丈夫な素材ではありますが、瞬間的に強い力がかかった場合、稀に割れてしまうことがあります。歯ぎしり・食いしばりがあり、割れるリスクが高い方にはマウスピースを装着して歯への負担を軽減することが必要です。
症例 ラミネートベニア
術前
術後
| 主訴 | 前歯の色が気になる |
|---|---|
| 治療方法 | ラミネートベニア:表面を一層削ってセラミックをはりつけます。 |
| 使用素材 | セラミック |
| リスク副作用 | 硬いものを噛むとセラミックが割れる可能性がある |
| 金額(税込) | 1本 99,000円~165,000円 |
| 患者の年齢・性別 | 30代女性 |
| 治療期間 | 約2ヶ月 |
歯肉移植
歯肉移植とは
痩せてしまった歯ぐきに、ご自身の口腔内の他の部位から歯肉を移植する方法です。間違ったブラッシングや、歯周病、食いしばり、矯正など様々な原因で一部の歯ぐきが下がり、歯の根元まで露出し、歯が長く見えてしまうケースに適応されます。
歯肉移植の特徴
01 審美性が回復される
02 ご自身の歯肉をそのまま移植するので、比較的簡単に手術を行える
03 歯の根元の露出による知覚過敏の症状を防げる
※手術自体は1~2時間程度で終わりますが、 術後、歯ぐきが定着するまでは2~6カ月かかる場合があります。
※上皮ごと移植する場合 移植先の歯ぐきと色味が異なる場合があります。
※切り取った側の歯肉が痛くなったり、術後に腫れが生じることがあります。
※症例によっては、適応しない場合もあります。
症例 歯肉移植術
術前
術後
術前
術後
| 主訴 | 矯正治療で歯肉がへったのでなおして欲しい |
|---|---|
| 治療方法 | 上のはぐきから歯肉をとってはぐきをたします |
| 使用素材 | ご自身の歯肉 |
| リスク副作用 | 歯肉がうまくつかない可能性がある |
| 金額(税込) | 165,000円 |
| 患者の年齢・性別 | 20代女性 |
| 治療期間 | 6ヶ月 |
ナノケア
ダメージを受けた歯を修復
スペシャルトリートメントで
汚れの付かないツルツルの歯に
こんな方におすすめ
♦着色が気になる方
♦お茶やコーヒー、赤ワインが好きな方
♦歯を強くしたい方
ナノケアとは…

歯の表面には、目には見えない無数の傷や凹凸があります。 これが原因で、歯に汚れや着色が付きやすくなっています。 従来のクリーニングは、歯の表面を磨き、着色や汚れを除去するだけでした。 ですがこれでは、原因が改善されていないため、除去→付着を繰り返す一方で、さらに歯が傷つく原因となってしまいます。 そこで、登場したのが、このナノケアです。 ナノケアの目的は、歯面にできた無数の傷の修復です。 ナノ粒子ハイドロキシアパタイトで傷を修復し、リン酸、カルシウムを補給してあげることで、歯質を強化、ツルツルの歯を目指します。 汚れや、着色が付きにくい歯となり、むし歯や歯周病予防にも大変効果的です。 ご自宅でのセルフケアを併せることでより一層の効果が期待できます。
手順
| Step① | 歯の表面を清掃 |
|---|---|
| Step② | 歯面に付着しているプラークや着色などを徹底的に除去 |
| Step③ | ナノ粒子ハイドロキシアパタイトを塗りこみ傷を修復 |
| Step④ | フッ素、リン酸、カルシウムを補給し歯質の強化 |
時間
1回 30分
定期検診とセットで行うことも可能です(約75分)
5回継続的に施術いただいた患者様
1回目来院時
施術後
5回目来院時
施術後