虫歯治療

虫歯治療

虫歯治療風景

虫歯になってしまうと自然に治ることはありません。 初期の虫歯はすぐに治せますが、放置し進行してしまった虫歯は痛みが伴い、治療期間も長くなります。 そのため、早期発見・早期治療がとても大切です。 当院では、“歯医者に対する不安”を、少しでも和らげ、安心した状態で治療を受けていただける様に、治療の前には、必ず問診の時間と資料取りの時間を設けております。患者さまの実際のレントゲン写真やお口の写真を用いて、正しい情報の提供と治療説明を十分に行い、ご納得いただいた上で治療を行います。

各種検査

適切な審査・診断のために

当院では治療前に、お口の状態を正確に把握するための各種検査を行います。先を見据えた治療計画を立てるため、虫歯・歯周病・噛み合わせ等お口全体をみています。検査後は治療説明を十分に行い、患者さまのライフステージやご希望に沿った中で、適切な治療を行うことを目指しております。

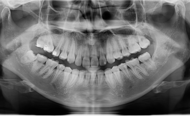
パノラマレントゲン

パノラマレントゲン

パノラマレントゲン

顎全体から歯、顎関節、上顎洞(鼻の奥の空洞)までを一枚の画像に収めることができるレントゲンです。見た目ではわからない、虫歯や歯周病の進行具合、親知らずの位置、神経の通り道、歯の根っこの状態などを確認し、正確な治療計画を立てるために必要不可欠ですので、当院では全ての患者様にご案内いたします。

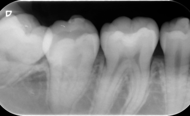
デンタルレントゲン

デジタルレントゲン

デンタルレントゲン

1〜3本の歯を詳細に映し出すための「精密検査用レントゲン」です。フィルムやセンサーを口の中に入れて撮影するため、細部の変化もはっきり映ります。虫歯の進行度、歯根の状態、詰め物・被せ物の適合性などを精査するために、必要な場合に撮影します。

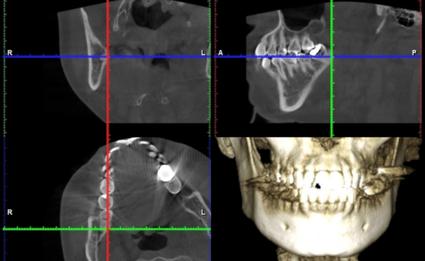
歯科用CT

歯科用CT

歯科用CT

パノラマレントゲンでは見えにくい「立体的な構造」を把握するために使用します。顎の骨や神経の位置を3Dで確認でき、インプラントや根管治療、難しい親知らずの抜歯などで欠かせません。安全な治療を行うために、必要な場合に撮影します。

口腔内スキャナー

口腔内スキャナー

口腔内スキャナー

歯科における口腔内スキャナーで、3Dデジタルモデルを作成するための医療機器です。初期の虫歯や、歯石を発見し噛み合わせの強さを可視化できます。精密な診断と治療計画を立てるために使用しますので、当院では初診時、全ての患者様にご案内いたします。また、スキャン後はモニターに映し出し、360度あらゆる角度から歯や歯茎の状態を確認できるので、患者様と一緒にご自身の歯の状態をチェックできます。また、詰め物や被せ物の作成時の型取りについても、こちらの機械を使用します。従来の型取り材を使用するよりも、2〜3分程度という非常に短時間で撮影が完了します。より精密で、負担も少なく快適に型取りを行えます。

虫歯について

C0 自覚症状なし

白濁・着色のある要観察歯。まだ歯に穴は空いていません。 歯科医院での定期検診やフッ素塗布で経過を観察します。この段階の虫歯は非常に小さく自覚症状もほぼないため見逃してしまうことが多く、気付かないまま進行してしまうこともよくあります。早期発見・治療のためにも定期検診をおすすめしています。

C1 痛みはないが、穴や溝ができている

痛みはほとんど出ることはありませんが治療が必要です。 まだ初期のため、その日のうちに治療が終わります。虫歯菌に感染した部分を削り取り、詰め物で補います。

C2 自覚症状を感じ始める

虫歯がまだ神経に達していませんが、痛みや冷たいものなどがしみるなどの症状が現れます。 自然治癒では回復不可能なため、虫歯菌に感染した部分を削り取り、詰め物で修復します。

C3 大きく穴が開き、ズキズキ痛みがある

虫歯が神経に達すると、ひどく痛み、冷たいもの/熱いものがしみるようになります。ここまで進行した虫歯の場合、虫歯菌に感染した歯髄(神経や血管)を除去する根管治療を行います。被せ物の治療が必要です。

C4 歯の根だけ残った状態

歯の大部分が溶けて根だけが残る状態まで虫歯が進行すると、神経が死んでしまい強い痛みは治まります。しかしこれを放置すると、根の中に残った虫歯菌が再び痛みを引き起こし、強い痛みを引き起こす場合があります。根だけになった歯は原則放置せず、抜歯治療を行う必要があります。その後はインプラントや入れ歯、ブリッジなどで歯を補う治療を行います。

C0 自覚症状なし

白濁・着色のある要観察歯。まだ歯に穴は空いていません。 歯科医院での定期検診やフッ素塗布で経過を観察します。この段階の虫歯は非常に小さく自覚症状もほぼないため見逃してしまうことが多く、気付かないまま進行してしまうこともよくあります。早期発見・治療のためにも定期検診をおすすめしています。

C1 痛みはないが、穴や溝ができている

痛みはほとんど出ることはありませんが治療が必要です。 まだ初期のため、その日のうちに治療が終わります。虫歯菌に感染した部分を削り取り詰め物で補います。

C2 自覚症状を感じ始める

虫歯がまだ神経に達していませんが、痛みや冷たいものなどがしみるなどの症状が現れます。 自然治癒では回復不可能なため、虫歯菌に感染した部分を削り取り詰め物で修復します。

C3 大きく穴が開き、ズキズキ痛みがある

虫歯が神経に達すると、ひどく痛み、冷たいもの/熱いものがしみるようになります。ここまで進行した虫歯の場合、虫歯菌に感染した歯髄(神経や血管)を除去する根管治療を行います。被せ物の治療が必要です。

C4 歯の根だけ残った状態

歯の大部分が溶けて根だけが残る状態まで虫歯が進行すると、神経が死んでしまい強い痛みは治まります。しかしこれを放置すると、根の中に残った虫歯菌が再び痛みを引き起こし、強い痛みを引き起こす場合があります。根だけになった歯は原則放置せず、抜歯治療を行う必要があります。その後はインプラントや入れ歯、ブリッジなどで歯を補う治療を行います。

さくらい先生よりちょっとひとこと

虫歯は「よく噛む」ことが嫌いです

虫歯は、菌が糖類(主に砂糖)を餌にして酸を作り、歯を溶かしていく病気です。
実は私たちの歯は、食事をするたびに表面がわずかずつ溶けています。唾液に含まれるカルシウムが、歯を修復しているのです。
ところが間食やだらだら食いが多いと、唾液による修復が追いつきません。歯が溶ける時間が長くなってしまい、本物の虫歯になります。
また、よく噛むことは唾液の分泌を促し、細菌に対する抵抗力を高め虫歯や歯周病を予防します。

虫歯菌は砂糖が大好き

私たちの口の中には、いろいろな細菌が住んでいます。
虫歯の原因となるのは、そのうちの「ミュータンス菌」です。
しかしこの菌がいるだけでは、虫歯にはなりません。この菌は砂糖が大好きで、砂糖を栄養にしてネバネバとしたデキストランというものを作り出します。
このデキストランが、他の細菌や食べ物のカスを取りこみ、歯垢(プラーク)と呼ばれる膜を作るのです。
膜は、細菌たちの居心地の良い住処となります。細菌は繁殖して酸を出します。
この酸が歯を少しずつ溶かしてしまうのが「虫歯」なのです。

歯周治療

こんな症状ありませんか?

歯ぐきが腫れる

歯ぐきが出血する
  1. 歯ぐきが出血する
口臭が気になる

口臭が気になる

歯がグラグラする

歯がグラグラする

放っておくとこんなことに・・・

正常な状態

歯垢が付き、歯ぐきが赤く腫れている

歯石が付き、少しずつ歯を支える骨が溶けはじめる

歯がぐらつき、最終的には歯が抜ける

治療の流れ

1.まずはしっかり検査

アイコン①
矢印

2.歯みがきなどのトレーニング

アイコン②
矢印

3.見えている歯石を取る

アイコン③

4.次に精密検査

アイコン①
矢印

5.歯ぐきの中の歯石を取る

アイコン③
矢印

6.確認のために再検査

アイコン①

7.定期検診に移行

改善していない場合
再治療のご提案

アイコン④

1.まずはしっかり
検査

アイコン①

2.歯みがきなどの
トレーニング

アイコン②

3.見えている
歯石を取る

アイコン③

4.次に精密検査

アイコン①

5.歯ぐきの中の
歯石を取る

アイコン③

6.確認のために
再検査

アイコン①

7.定期検査に移行

改善していない場合
再治療のご提案

アイコン④

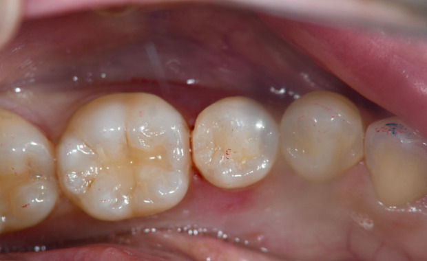
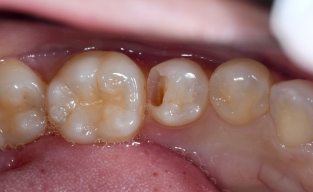
治療前後の比較

強化プラスチック治療1

主訴 歯がしみる
治療方法 歯と同じ色に合わせて強化プラスチックをもり、特殊な光で固めて磨きます
使用素材 コンポジットレジン
リスク副作用 年数が経つと変色や欠ける可能性がある
金額(税込) 保険適応
患者の年齢・性別 20代女性
治療期間 1日

術前

虫歯治療 術前

術後

虫歯治療 術後

術前

虫歯治療 術前

術後

虫歯治療 術後

強化プラスチック治療2

主訴 前歯の色が気になる
治療方法 歯と同じ色に合わせて強化プラスチックをもり、特殊な光で固めて磨きます
使用素材 コンポジットレジン
リスク副作用 年数が経つと変色や欠ける可能性がある
金額(税込) 保険適応
患者の年齢・性別 30代女性
治療期間 1日

術前

強化プラスチック治療2

術後

強化プラスチック治療2

術前

強化プラスチック治療2

術後

強化プラスチック治療2

小児歯科

乳幼児の歯科治療とは?

乳幼児の歯科治療

歯が生えていない0歳のお子さまのお口からみさせていただきます。 授乳、離乳食、いつから歯磨きするのかなど、これからのお口の健康についてなんでもご相談下さい。

歯並びは0歳からが重要です

歯並びは遺伝の要素は少なく、実は幼い頃からの口や体の癖で決まります。
正しいお口の機能を育てるために、今できることから始めてみませんか。

いつから歯医者に行けばいい?

さくらいデンタルクリニックでは0歳からみさせていただくことができます。
3歳までに歯科に通っているお子さまは虫歯になりにくいというデータもあります。

乳幼児の歯科治療【はぐはぐクラブ】のシステムについて

さくらいデンタルクリニックでは、月に一回習い事のように通っていただくプログラム【はぐはぐクラブ】をご用意しています。
お口を使ったあそびや、食べ方、歯磨きの仕方、何を使えばよいか、こんなことに注意!など、その時期に合ったお話しをさせていただきます。
もちろんその都度お困りのことはなんでもご相談下さい。
お子さまと通うまるで初めての習い事を一緒に始めてみましょう。

まずは月に一回開催している赤ちゃん歯科無料セミナー&相談会にぜひご参加下さい!

赤ちゃん歯科【はぐはぐクラブ】のシステムについて

訪問診療

訪問診療とは?

高齢な方や体の不自由な方など、歯科医院への通院が困難な方がご自身や施設で、一番楽な姿勢のまま歯科診療お受けいただけるシステムです。

歯科医師・衛生士・助手のチームで訪問いたします

歯科医師・衛生士・助手のチームで訪問いたします

治療に必要なものは、全てこちらで揃えてありますので準備は一切必要ありません。 患者さまの全体的な状態にも配慮し、かかりつけの内科医や、介護にあたっている方と密に連携をはかりながら治療を進めていきます。

治療に必要なものは、全てこちらで揃えてありますので準備は一切必要ありません。
患者さまの全体的な状態にも配慮し、かかりつけの内科医や、介護にあたっている方と密に連携をはかりながら治療を進めていきます。

歯科医師・衛生士・助手のチームで訪問いたします

こんな時はご相談下さい

こんな時はご相談下さい

費用はどうなるの?

訪問診療Q&A

Q

治療が必要かどうか診てもらうだけでも来てもらえますか?

A

在宅での歯科の検診、お口の相談だけでも行います。
まず一度検診を受けて、治療が必要がどうかだけでも診てもらいましょう。

Q

寝たきりではないのですが、診てもらいますか?

A

自力通院が可能な方は、保険診療下での訪問診療の
対象とならない場合があります。
個別のケースによって違いがありますので、お気軽にご相談下さい。

Q

訪問診療は誰でも受けれますか?

A

ご自身で通院が困難な方、介護保険で要支援・要介護を認定された方、お身体の不自由な方、その他詳しくはお気軽にご相談下さい。

Q

老人ホームに入居中ですが、来てもられますか?

A

老人ホームや介護施設に入居している場合でも治療が受けることができます。
ただし、施設の許可が必要です。

Q

治療に際して、準備するものはありますか?

A

治療には、特別ご用意していただくものはありません。
コンセント、洗面器、コップ、タオル、普段お使いの歯ブラシなどご用意下さい。

訪問歯科診療の器具説明動画

その他

笑気麻酔

笑気麻酔

笑気麻酔

痛みが苦手な患者さまに、痛みの少ない治療を行います。そこで使用する麻酔は大きく分けて3種類ですが、その中で、およそ9割の患者さまに使用しているのが、 「笑気吸入鎮静法」 という麻酔です。笑気吸入鎮静法は大変安心していただける麻酔です。欧米諸国から広く普及し、日本でもすでに30年以上前から一般的になっております。 笑気吸入鎮静法を導入することによって、治療に対する恐怖をやわらげ、「治療を我慢できないかもしれない」「治療中にえづいてしまうかもしれない」などという不安も取り除くことができます。 ※保険適用で行うこともできます。お問合せ下さい。

のんびり寝そべって、うとうとしはじめている気分

のんびり寝そべって、うとうとしはじめている気分

ぽかぽかとした暖かい春の昼下がりに、のんびりと寝そべって、うとうとしている状況を思い浮かべてみて下さい。 そういう状態の時、何かを考えるのが嫌になりませんか? 何か心配事や悩み事があっても、「まあいいや、あとで考えよう」などと思ったりすることがありますね。 笑気吸入鎮静法を行うと、ちょうどそんな状態になります。

笑気吸入鎮静法の特徴

静脈内鎮静法

眠っている間に治療が終わる

眠っている間に治療が終わる

インプラントや親知らず抜歯など、手術を必要とする治療に対しては、通常よりも恐怖心が強くなってしまいます。そのため治療を受ける勇気が出ず、不自由な思いをしている患者さまもたくさんいらっしゃいます。そんな患者さまに利用していただいているのが、静脈内鎮静法です。 実際に静脈内鎮静法を受けられた患者さまのほどんどは痛みを感じないまま治療が終わった、という方がほとんどです。 【費用】
静脈内鎮静法 55,000円(税込)

こんな方にお勧め

点滴が始まると、だんだんリラックスした状態になります。

点滴が始まると、だんだんリラックスした状態になります。

静脈内鎮静法は、精神安定剤を静脈に点滴する方法です。使用する精神安定剤は数種類を組み合わせます。 点滴を開始すると、だんだんリラックスした状態になってきます。体が温かくなり、心地いいお湯加減の温泉につかっているような、または、快適なベッドの中でぬくぬくとまどろんでいるような感じになります。 その後、1~2分もすると眠気が強くなり、最終的に眠ってしまいます。ただし、患者さまや状況によっては意識が残ることもあります。 治療に伴う痛みや不快な音などは、ほぼ気にならなくなり、「いつの間にか治療が終わっている」という状態になります。術中のことを全く憶えていない患者さまもいらっしゃいます。 意識が残っている場合は、スタッフが声をかければ反応できます。うとうと眠ってはいるけれど、答えることができる状態というわけです。

静脈内鎮静法の流れ

1まず静脈から点滴をします

まず静脈に点滴します。場所は主に腕に行いますが、患者さまによっては手の甲など、他の部分にすることもあります。
点滴をする際の静脈注射に対する痛みを完全になくすことは難しいのですが、細い注射針を使用しているため、注射に対して怖いと思っている患者さまでさえも、そこまでつらくないということがほとんどです。

2点滴がスムーズにいっていることを確認できた時点で、精神安定剤を注入

点滴がスムーズにできていることを確認できた時点で、精神安定剤を注入していきます。安定剤の量は患者さまの様子を見ながら調節していきます。

3その後、必要に応じて局所麻酔を行います

患者さまが完全に痛みなどを感じなくなったことを確認した後で、必要に応じて局所麻酔を行います。笑気吸入鎮静法と同じく、静脈内鎮静法も麻酔効果は得られないためです。
治療がスタートした後も、患者さまの心拍や血圧などのデータをリアルタイムでチェックしながら、万一の場合に備えます。たとえ患者さまの状態が急変しても、対応できるようにする為です。

安心・安全な静脈内鎮静法のための当院の取り組み

使用する精神安定剤は安全なものです

使用する精神安定剤は、いずれも有害な作用がない、とても安全なものの為、その点も安心していただけます。
静脈内鎮静法を利用する方も決して少なくありません。治療時間が3~4時間かかり、一度に多くの歯を治療するときは、静脈麻酔法を用います。

静脈内鎮静法は、歯科治療が辛く苦痛で、治療中に具合が悪くなる患者さまや、嘔吐反射の強い患者さま、なるべく早く治療を終わらせたいという方も利用しています。また、高血圧や心臓病などの疾患がある方でも、静脈内鎮静法を利用すれば血圧や心拍数が安定するため、安心・安全に治療を受けていただくことができます。
さらに、心身に障害がある方は、医師の理解や協力が得られないなどの理由で、一般の歯科医院で治療できない場合があります。そういった患者さまでも、眠った状態で行う静脈内鎮静法を用いれば、幅広く対応することができます。

静脈内鎮静法を行う場合の注意点

静脈内鎮静法の場合、術後には眠気やふらつきなどが生じます

通常の状態に戻るまでは、クリニックでゆっくり休んでいただきます。

いくつかの注意事項もあります

また、「車や自転車等の運転を控える」「患者さまの様子を的確に把握するため、口紅やマニキュアをとってもらう」「当日は帰宅後も安静にする」など、いくつかの注意事項があります。翌日からは普段通りに生活していただいてもまったく問題ありません。

静脈麻酔法では場合によっては自費診療になります

なお、保険診察は、きわめて細かいルールが決められています。歯科で使える薬剤・材料や、歯の治療にかかる回数や期間など、制限が多くあります。
静脈麻酔法では、短期集中治療を行います。そのため、保険のルールに当てはまらないケースが多くなり、自費診療となります。

デンタルリラクゼーションサンク

健康管理をお手伝いします

デンタルリラクゼーション サンク

専用のマッサージチェアーで体の疲れをほぐしつつ、顔や歯肉のマッサージを行います。 お口の中だけではなく、心も体も癒していただきたいという思いをこめました。 食育インストラクター、健康管理士一般指導員の資格を持った歯科衛生士が、生活習慣などについて伺い、食べ物や運動など、生活習慣へアドバイスもさせていただきます。

インボディで生活習慣病の改善を

生活習慣病の指導のため、体脂肪率や筋肉量などを測定する「インボディ」を導入しております。
歯と生活習慣病は密接に関係しています。
歯をきれいに治しても、何かの病気で倒れてしまったら意味がありません。
体組成分析装置「インボディ」の測定データをもとに、健康に関するお話をさせていただきます。

CONTACT

ご予約・お問い合わせは
お気軽に