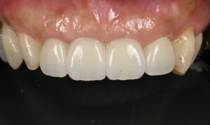
セラミックブリッジ治療

前歯のセラミック治療です
綺麗に入りますので
みなさまあきらめないでくださいね!
自然な感じになります^_^

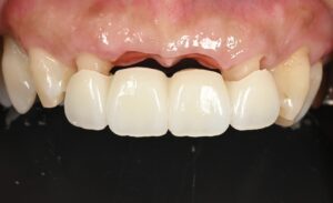
前歯のセラミック治療です
綺麗に入りますので
みなさまあきらめないでくださいね!
自然な感じになります^_^
2026年 (4)
2025年 (33)
2024年 (26)
2023年 (44)
2022年 (94)
2021年 (1)
2020年 (11)
2019年 (13)
2018年 (40)
2017年 (18)
2016年 (12)
2015年 (33)
2014年 (25)
2013年 (30)